Sugar Dental PACS is a cloud-ready Picture Archiving and Communication System designed specifically for dental clinics, multi-branch practices, and dental hospitals. It provides secure access, storage, and management of dental radiographs and clinical images—including periapical, panoramic, cephalometric, and CBCT—anytime, anywhere. Built for fast performance and intuitive usability, Sugar Dental PACS enhances diagnostic efficiency, streamlines clinic workflow, and supports collaborative communication with specialists. Empower your practice with a modern, scalable imaging solution tailored for dental care.
Dicom Send

Network
Ideal for dental specialists, orthodontists, and collaborative treatment planning.
No local server required; start immediately with cloud PACS.
Sugarpole handles all maintenance, updates, and system monitoring.
Easily expand storage as CBCT and panoramic image volumes grow.
Easily share patient radiographs with orthodontists, implant specialists, or external
radiology services through secure web access—no software installation required.
Sugar Dental PACS supports multi-branch clinics, dental networks, and group practices with
rapid cloud-based access, making it easy to obtain second opinions, coordinate treatment
plans, and ensure consistency across all clinic locations.
![]()
Access all dental radiographs (2D & CBCT) through your browser—no additional software required.
![]()
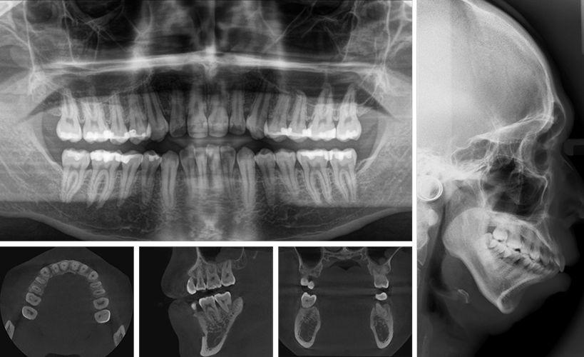
Supports panoramic, cephalometric, periapical, bitewing, CBCT, and intraoral camera images.
![]()
Enhance images with zoom, pan, windowing, filters, and linear/angle measurements.
![]()
Create structured radiology reports with annotated key images and diagnostic notes.
Optimized viewing for dental radiographs and CBCT volumes. Streamlined workflow for orthodontics, implants, endodontics, and general dentistry. Provides a modern, intuitive interface designed for fast clinical decision-making.
Consistent viewing across Windows, macOS, tablets, and mobile devices.
No installation required—ideal for multi-location clinics.
Share images and reports instantly with specialists or partner clinics.
Sugar Dental PACS consolidates all dental imaging—from 2D radiographs to CBCT—into a single
platform. Easily compare historical and current images, visualize pathology, and support
orthodontic or implant planning workflows.
Full DICOM compatibility ensures seamless integration with dental X-ray units, intraoral
sensors, and CBCT devices from any manufacturer.
View panoramic, periapical, cephalometric, and CBCT in one interface.
Works with all dental imaging devices and software.
Compare multiple images side-by-side for accurate diagnosis.
Sugar Dental PACS offers purpose-built tools for dental diagnostics—zoom, pan, contrast control, sharpening, endodontic length measurement, implant planning aids, and cephalometric angle analysis. Easily annotate abnormalities, mark treatment areas, and manage CBCT slices with fast, smooth interaction.
Zoom, Pan, Rotate, Split-View layouts.
Distance, Angle, Ceph tools, Endo length measurement.
CBCT slice viewer, cine mode for sequential frames.
| Function | Sugar PACS Cloud | Sugar PACS On-premise |
|---|---|---|
| Server Location | External cloud server (AWS, Azure) | Internal clinic server |
| External Access | Available for specialists and remote planning | Limited access (custom setup required) |
| Security | Cloud provider security standards | Clinic-controlled security |
| Maintenance | Managed by Sugarpole | Managed by clinic IT or outsourced |
| Deployment Speed | Fast: ready in a few days | May require additional setup time |
| Data Control | Logical control | Full physical & logical ownership |
| Best For | Clinics needing CBCT access and multi-branch use | Clinics with strict security and full internal control needs |